نتایج جستجو :
-
بیمار | کرونا
این بیمار رکورددار طولانیترین زمان ابتلا به کرون…
یک بیمار انگلیسی در سال ۲۰۲۰ میلادی به کرونا مبتلا شد و در…
-
ارتش اوکراین: نیروهای روسیه برای حمله به دونباس…
نیروهای مسلح اوکراین در جدیدترین اطلاعیه خود در در چهل و…
-
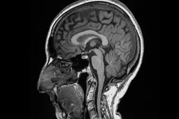
کرونا | مغز | اسکن مغزی | واکسن کرونا
کووید باعث چه تغییراتی در مغز میشود؟
نتایج یک مطالعه نشان می دهد که ابتلا به بیماری کووید-۱۹…
-
به گفته دیمیترو کولِبا:
اوکراین: نزدیک به ۲۰ هزار خارجی برای جنگ دادهاند
اوایل امروز، رئیس نیروهای مسلح بریتانیا به بیبیسی گفت که…
-
جنگ | روسیه | مسکو | اوکراین | بازیگر آمریکایی | کشورهای غربی
«استیون سیگال» بازیگر آمریکایی به ارتش روسیه پیوس…
به غلط ادعا شده بود که اسیتون سیگال، بازیگر سینما (سمت…
-
در واکنش به فراخوان برای برگزاری اعتراضات علیه جنگ اوکراین
روسیه پخش برنامه های رادیو آزادی و بی بی سی در…
سازمان نظارت بر رسانه های روسیه (روس کوم نادزور) پخش…
-
نابودی زیرساختهای حیاتی غیرنظامی اوکراین
شهر مایوپول اوکراین: آب و گرما و برق نداریم
در این بیانیه آمده که "روسها ذخایر مواد غذایی ما را از…
-
یک هندی در اوکراین کشته شد
سفارت هند در کییف در توصیهای اعلام کرد که همه اتباع هند…
-
شهردار:
کییف کاملا تحت کنترل ارتش اوکراین است
شهردار کییف گفته که هیچ نیروی روسی در این شهر وجود ندارد…
-
بازار رمزارز
روندنزولی قیمت بیت کوین + نمودار
اظهار نظرهای نخست وزیر بریتانیا با واکنش گسترده ای از سوی…