نتایج جستجو :
-
آبله میمونی
هشدار فوری برای آبله میمونی | شیوع خطرناک آبله…
رییس جامعه پزشکان داخلی ایران درباره آبله میمونی هشدار داد…
-
شرایط روزه داری در دوران کرونا
یک متخصص بیماریهای عفونی درباره روزهداری در شرایط…
-
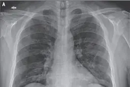
کرونا چه بلایی بر سر ریهها میآورد؟
کروناویروس به خاطر وجود شاخکهای تاجی شکلی که بر روی…
-
از کرونا نترسید؛ اضطراب باعث تضعیف سیستم ایمنی…
عضوکمیته کشوری بیماریهای عفونی وزارت بهداشت با بیان اینکه…