درباره ما
تماس با ما
اوقات شرعی
یکشنبه ۲۰ اردیبهشت ۱۴۰۵
|
|
موافقت دولت برای تغییر مسیر تأمین کالاهای اساسی
ادعای تازه ترامپ: ایران همچنان به شدت خواهان دستیابی به توافق است
پایگاه خبریتحلیلی ۵۵آنلاین، هماکنون در اپلیکیشن بله در دسترس است
مینو محرز: ویروس هانتا مرگبار است، اما هنوز به ایران نرسیده
تاکتیک ایران برای دورزدن محاصره ترامپ: انتقال کشتیبهکشتی در اقیانوسها
واکنشها به انتشار شعر جنجالی در پوستر «شاهنامهخوانی» نهاد کتابخانهها
سید حسن خمینی: کاسه داغ تر از آش نباشیم | بحمدلله رهبر معظم انقلاب مشرف بر امور هستند؛ تصمیمات را ایشان قبول و امضاء میکنند
واکاوی هویت ملی در نشست «شب شاهنامه و ایران» | مهری بهفر: ملیگرایی شاهنامه، همگرایانه و ظریف است
لغو پروازهای شرکت هواپیمایی «ویز ایر» به سرزمینهای اشغالی
افزایش رقم کالابرگ با افزایش درآمدهای نفتی
صفحه نخست
توسعه
کسب و کار
NGO
فناوری
میراث ایرانی
اقتصادی
نفت و گاز
ساختمان
صنعت
سیاست
سیاست داخلی
سیاست خارجی
اجتماعی
فرهنگ و هنر
ورزشی
گوناگون
ویدئو
سبک زندگی
نتایج جستجو :
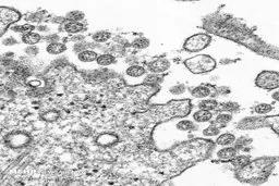
کرونا ویروس زیر میکروسکوپ
تصاویری میکروسکوپی از ویروس کرونا منتشر شده که این روزها…
۲۱ اسفند ۱۳۹۸